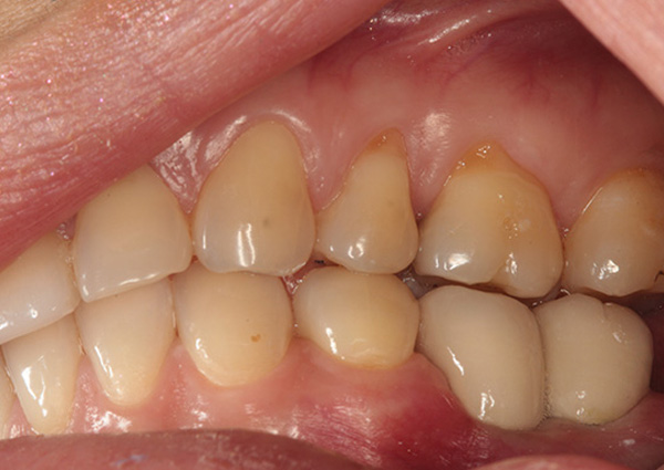
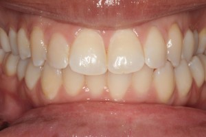
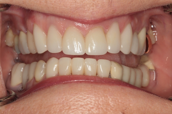
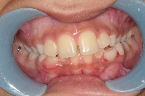
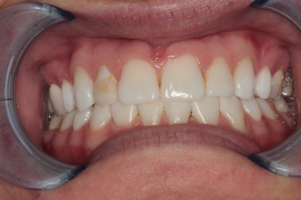
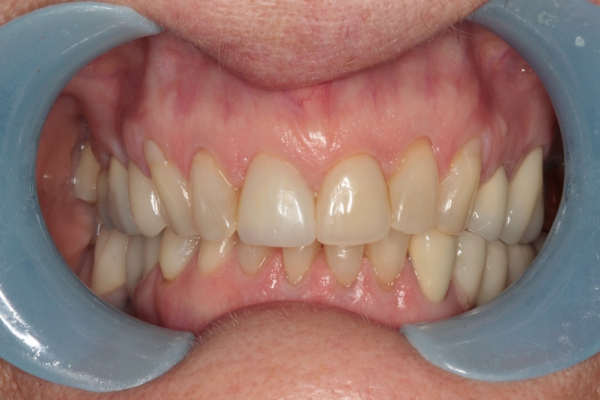
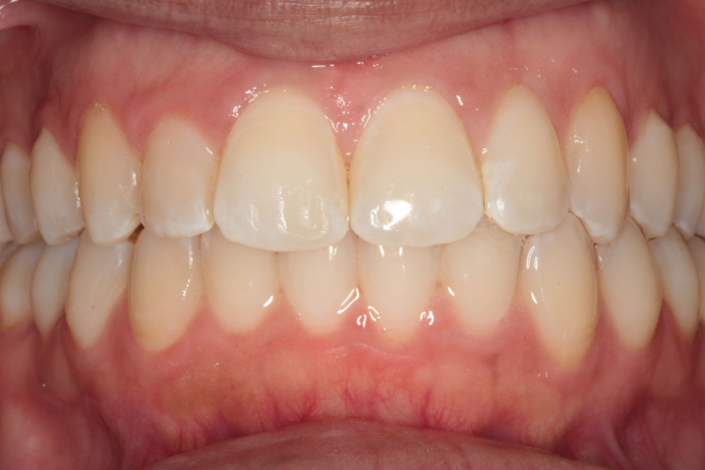
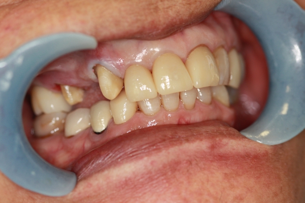
If you are looking for quality care, highly trained professional staff, and a friendly atmosphere, Harder Dental Corporation is waiting to hear from you. Nobody works Harder to keep your smiles looking healthy and beautiful.
4980 Barranca Pkwy #208
Irvine, CA 92604
Copyright © 2024 Harder Dental Corporation Drs. Harder, Pham & Associates - All Rights Reserved | The Irvine dentists of Harder Dental serve the surrounding area with the greatest compassion and dedication. Our treatments include veneers, Invisalign, teeth whitening, sleep apnea, dental implants, and more. Sitemap
